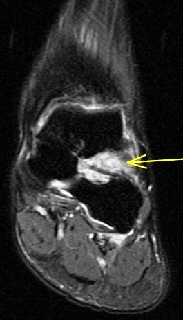
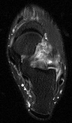
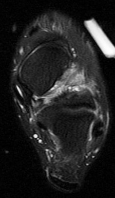
36 yo M s/p ankle sprain 7 months ago
-1.jpg)
-2.jpg)
-3.jpg)
-4.jpg)
-5.jpg)
Marked edema and scarring in the tarsal sinus. Has healed sprains of the ankle ligaments with scar remodeling (not shown). You can see where the ongoing pain is by the oil marker. I insist on having pain markers when possible. Reference article.
sinus tarsi syndrome ( RID3222 )