OCAD MSK

History

Fell and twisted knee while running

Figure 1 for case Patellar dislocation
Figure 1
Figure 2 for case Patellar dislocation
Figure 2
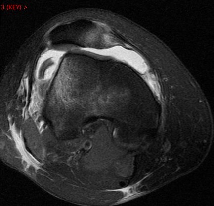
Figure 3 for case Patellar dislocation
Figure 3
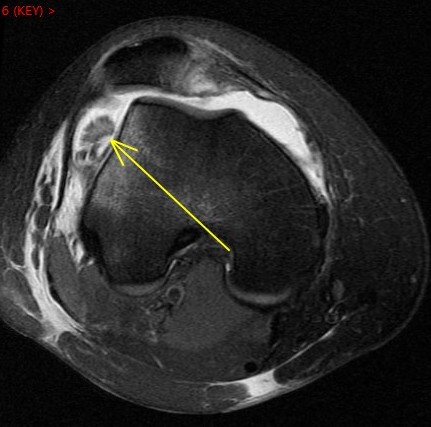
Figure 4 for case Patellar dislocation
Figure 4
Figure 5 for case Patellar dislocation
Figure 5

Discussion

All the classic findings. Im showing this one because of the loose chondral body knocked off of the patella. Nice example.

Diagnosis

Patellar dislocation

Phillip Tirman, MD
Courtesy