-1.jpg)
-2.jpg)
-3.jpg)
-4.jpg)
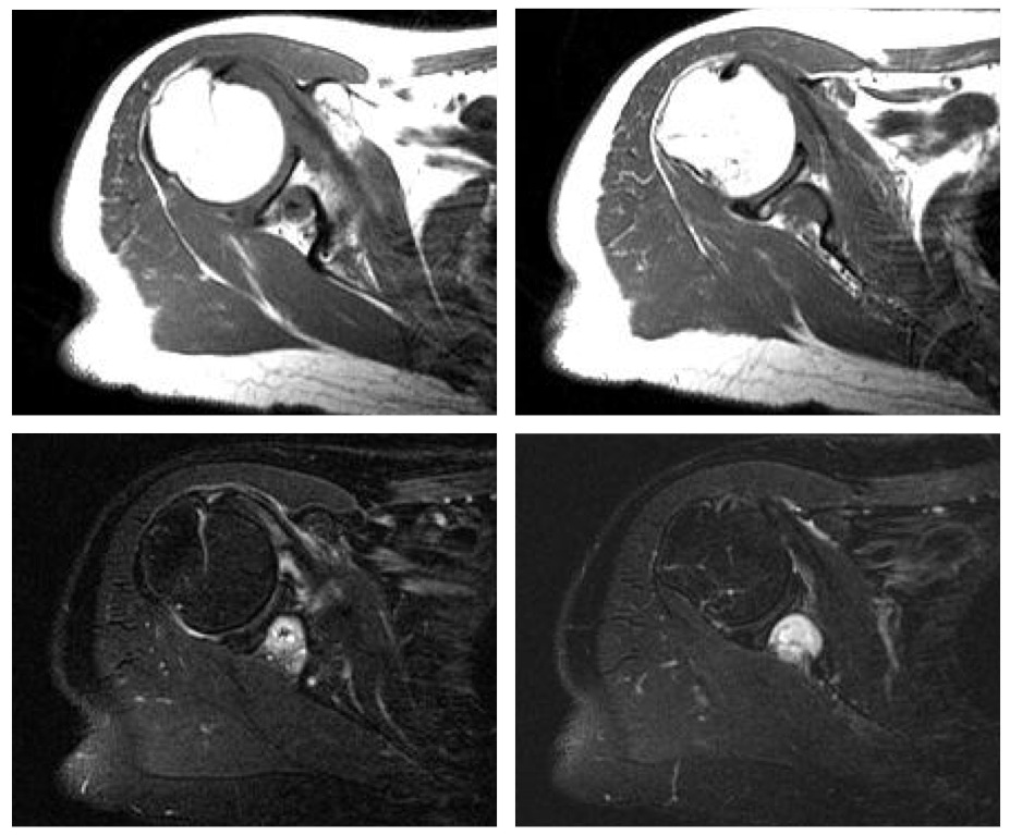
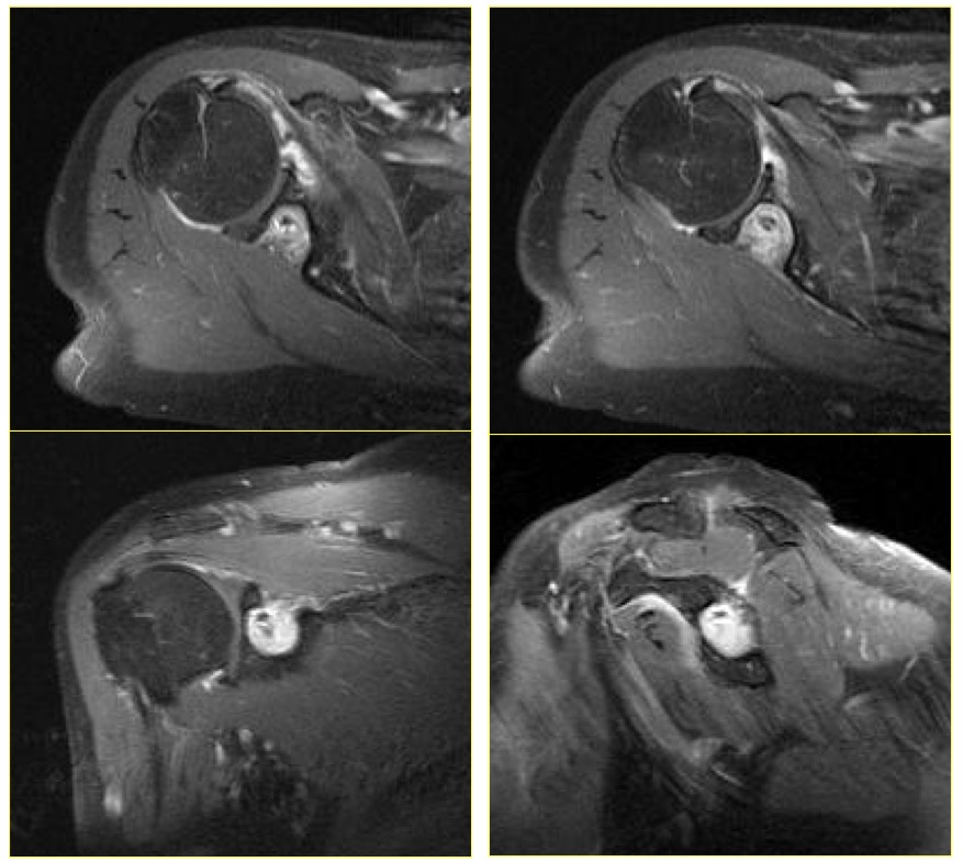
Inflammatory Myofibroblastic Tumor; WHO classify inflammatory myofibroblastic tumor as a distinct borderline lesion with uncertainty as to whether it is reactive or neoplastic; characterized histologically by the presence of acute and chronic inflammatory cells with a variable fibrous response
inflammatory pseudotumor ( RID3860 )