OCAD MSK

History

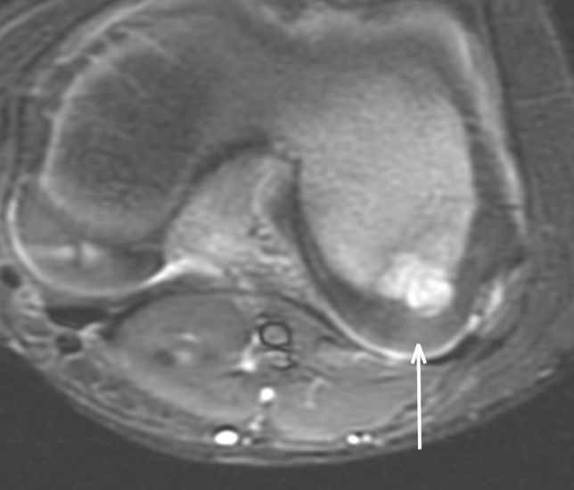
6 yo mild pain, no trauma, mild + inflamm markers

Figure 1 for case Staphylococcus osteomyelitis ( RID3715 )
Figure 1
Figure 2 for case Staphylococcus osteomyelitis ( RID3715 )
Figure 2
Figure 3 for case Staphylococcus osteomyelitis ( RID3715 )
Figure 3
Figure 4 for case Staphylococcus osteomyelitis ( RID3715 )
Figure 4
Figure 5 for case Staphylococcus osteomyelitis ( RID3715 )
Figure 5

Discussion

Diagnosis

Staphylococcus osteomyelitis ( RID3715 )

Philip Tirman, MD
Courtesy