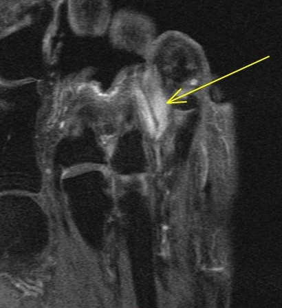
75 y/o male with toe mass.





Proven. Non painful. Mass of the skin at the base of the fourth toe. Patient sought medical attention due to the presence of the mass rather than symptoms. Last hidden image is enhanced. The disorder is rare. Reference article.
Nodular Localized Cutaneous Amyloidosis