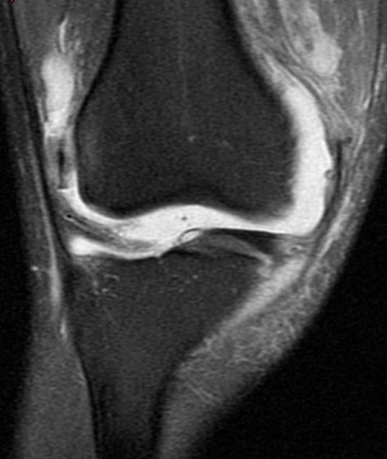
25 y/o twisting injury





Torn mid medial patellofemoral ligemnt, chondral defect of the lateral femoral condyle and medial patella. Displaced chondral fragment adjacent to the lateral femur within the lateral joint space. Also has trochlear dysplasia type B with a subtle supratrochlear spur and an increased tibial tubercle central trochlear distance.
Patellar dislocation