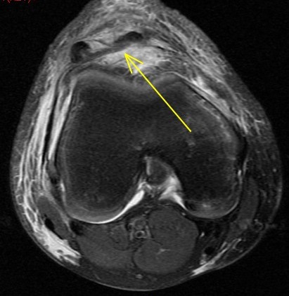
Trampoline injury, 10y/o





Wheeless: mechanism: eccentric contraction of the quadriceps on the flexed knee. occurs when the inferior pole of the patella of a child or adolescent is pulled off together with a large amount of articular cartilage and retinaculum. Superior patella pulled superiorly with chondral defect. Reference article.
Patellar sleeve avulsion