OCAD MSK

History

Pain

Figure 1 for case GLAD lesion
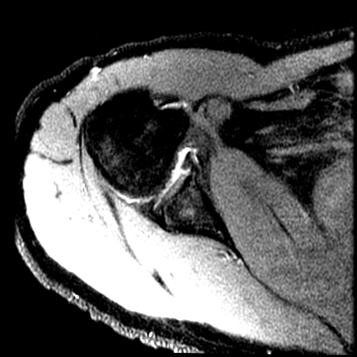
Figure 1
Figure 2 for case GLAD lesion
Figure 2

Discussion

Partial tear of the anterior inferior labrum with a small peripheral defect of the adjacent glenoid articular cartilage. Anterior scapular periosteum remains intact. Reference article.

Diagnosis

GLAD lesion

Bao Do, MD
Courtesy