OCAD MSK

History

Cut by knife

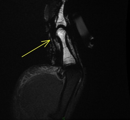
Figure 1 for case Flexor pollicis longus tendon ( RID2383 ) laceration
Figure 1
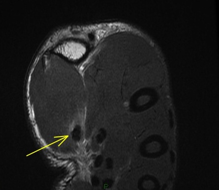
Figure 2 for case Flexor pollicis longus tendon ( RID2383 ) laceration
Figure 2
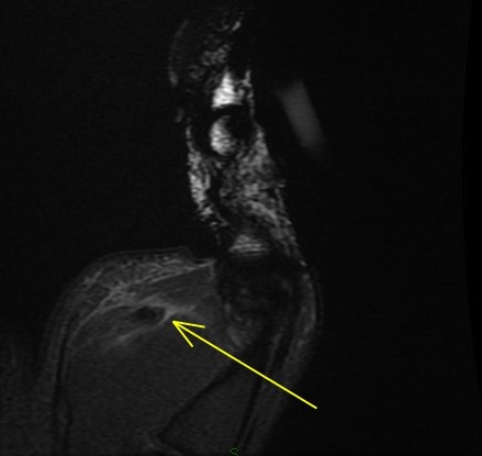
Figure 3 for case Flexor pollicis longus tendon ( RID2383 ) laceration
Figure 3
Figure 4 for case Flexor pollicis longus tendon ( RID2383 ) laceration
Figure 4
Figure 5 for case Flexor pollicis longus tendon ( RID2383 ) laceration
Figure 5
Figure 6 for case Flexor pollicis longus tendon ( RID2383 ) laceration
Figure 6

Discussion

Diagnosis

Flexor pollicis longus tendon ( RID2383 ) laceration

Phillip Tirman, MD
Courtesy