OCAD MSK

History

Painful masses on buttock

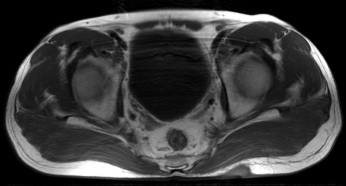
Figure 1 for case Hidradenitis suppurativa
Figure 1
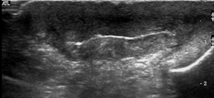
Figure 2 for case Hidradenitis suppurativa
Figure 2
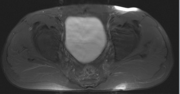
Figure 3 for case Hidradenitis suppurativa
Figure 3
Figure 4 for case Hidradenitis suppurativa
Figure 4
Figure 5 for case Hidradenitis suppurativa
Figure 5

Discussion

Diagnosis

Hidradenitis suppurativa

Kyung Jin Suh, MD PhD
Courtesy