OCAD MSK

History

None

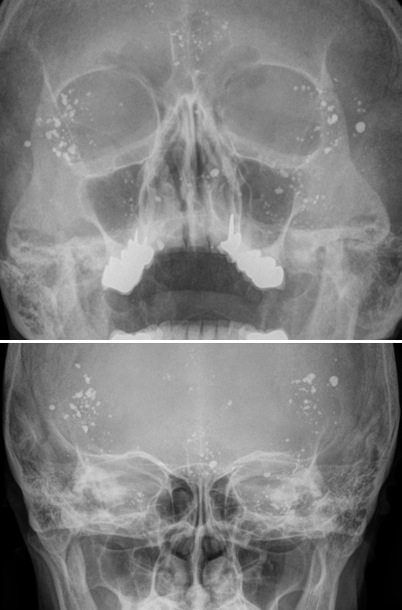
Figure 1 for case Lipiodol droplets after myelogram
Figure 1
Figure 2 for case Lipiodol droplets after myelogram
Figure 2
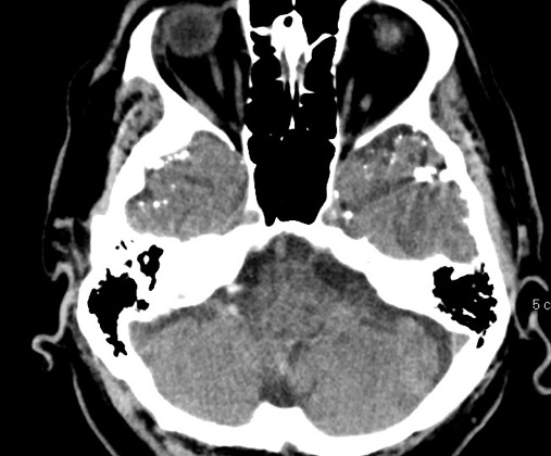
Figure 3 for case Lipiodol droplets after myelogram
Figure 3
Figure 4 for case Lipiodol droplets after myelogram
Figure 4

Discussion

Diagnosis

Lipiodol droplets after myelogram

Andrei Dumitrescu, MD
Courtesy