OCAD MSK

History

Rehab fr ACL reconstruction

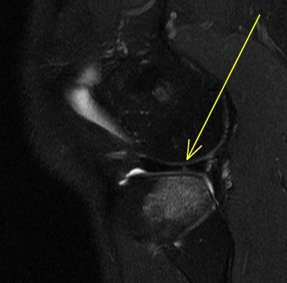
Figure 1 for case Lateral meniscus flap tear and adjacent stress fracture
Figure 1
Figure 2 for case Lateral meniscus flap tear and adjacent stress fracture
Figure 2
Figure 3 for case Lateral meniscus flap tear and adjacent stress fracture
Figure 3
Figure 4 for case Lateral meniscus flap tear and adjacent stress fracture
Figure 4
Figure 5 for case Lateral meniscus flap tear and adjacent stress fracture
Figure 5

Discussion

Knee arthrogram showing lateral meniscus flap tear and adjacent stress fracture.

Diagnosis

Lateral meniscus flap tear and adjacent stress fracture

Philip Tirman, MD
Courtesy