67 y/o with shoulder pain. Shoulder OA. R/O rotator Cuff tear.




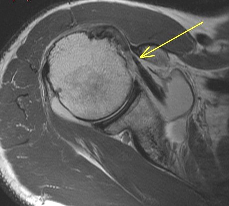
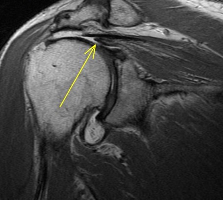
The rotator cable is a collagenous thickening of the supraspinatus tendon which acts as a suspension bridge type mechanism strengthening its attachment. In my experience you dont see it in each case but in this case you see it well. Many supraspinatus tears involve the anterior aspect of the tendon and if severe enough can involve the cable and subscapularis tendon. Some consider it extending through the cable to involve the subscap. Biomechanically involvement of the cable can lead to weakness of supraspinatus function whereas if not involved the tear is said be “cresentic” and the patients usually have preserved strength – albeit are in pain. See the enclosed article. Reference article.
Supraspinatus and subscapularis tears involving the anterior rotator cable