OCAD MSK

History

13 yo boy fell in playground

Figure 1 for case Ischial tuberosity ( RID2550 ) avulsion
Figure 1
Figure 2 for case Ischial tuberosity ( RID2550 ) avulsion
Figure 2
Figure 3 for case Ischial tuberosity ( RID2550 ) avulsion
Figure 3
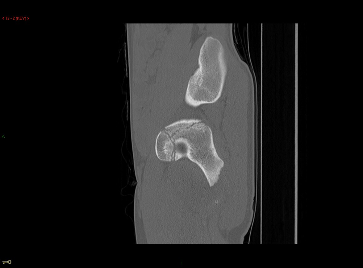
Figure 4 for case Ischial tuberosity ( RID2550 ) avulsion
Figure 4
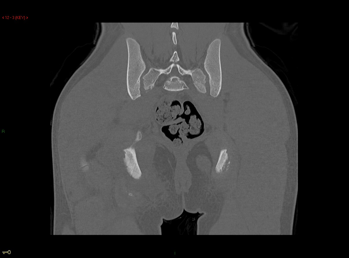
Figure 5 for case Ischial tuberosity ( RID2550 ) avulsion
Figure 5

Discussion

See also MRI ( link )

Diagnosis

Ischial tuberosity ( RID2550 ) avulsion

Phillip Tirman, MD
Courtesy