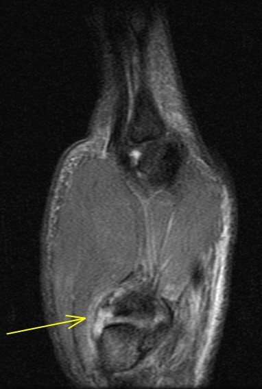
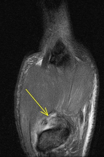
26 y/o crashed on a skateboard.





Patient has torn the deep anterior oblique ligament (beak), and sprained the superficial anterior oblique ligament, posterior oblique ligament and first intermetacarpal ligament. Also a sprain of the dorsoradial ligament. The joint has reduced but the patient related that he can slip it in and out easily. First images are from a dedicated thumb exam and the last image is from the wrist exam.
Please refer to the excellent article on the subject from San Diego included. Reference article.
trapeziometacarpal dislocation