OCAD MSK

History

Pain

Figure 1 for case Parosteal osteosarcoma ( RID4021 )
Figure 1
Figure 2 for case Parosteal osteosarcoma ( RID4021 )
Figure 2
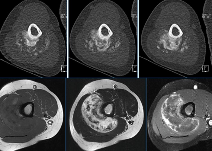
Figure 3 for case Parosteal osteosarcoma ( RID4021 )
Figure 3

Discussion

Diagnosis

Parosteal osteosarcoma ( RID4021 )

Kyung Jin Suh, MD PhD
Courtesy