OCAD MSK

History

Pain

Figure 1 for case Charcot Marie Tooth Type 1a
Figure 1
Figure 2 for case Charcot Marie Tooth Type 1a
Figure 2
Figure 3 for case Charcot Marie Tooth Type 1a
Figure 3
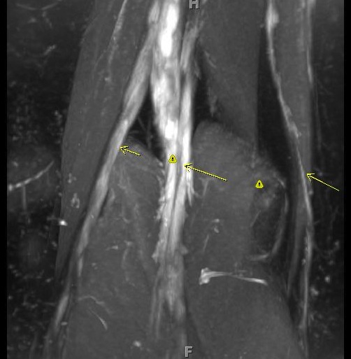
Figure 4 for case Charcot Marie Tooth Type 1a
Figure 4
Figure 5 for case Charcot Marie Tooth Type 1a
Figure 5

Discussion

Diagnosis

Charcot Marie Tooth Type 1a

Avneesh Chhabra, MD
Courtesy