OCAD MSK

History

Weakness

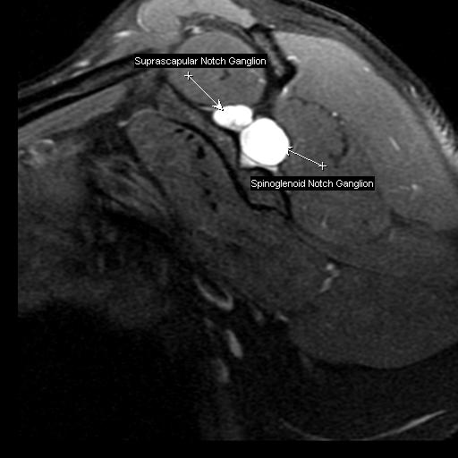
Figure 1 for case Notch ganglion cysts
Figure 1
Figure 2 for case Notch ganglion cysts
Figure 2
Figure 3 for case Notch ganglion cysts
Figure 3

Discussion

Diagnosis

Notch ganglion cysts

Willis Huang, MD PhD
Courtesy