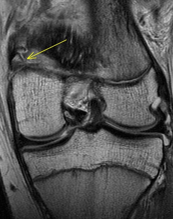
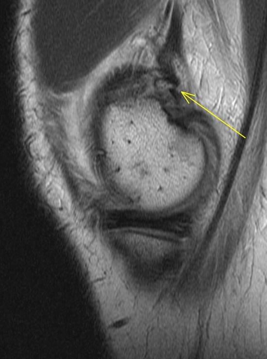
14 y/o tackled from the side after blocking a field goal in American football





The adductor magnus insertion is avulsed and there is fluid within the physis consistent with a SH injury (probable type 2 although its a bit tough to say whether the fragment was metaphyseal or epiphyseal). There was also subperiosteal blood laterally. Orthopedist saw an ossicle on plain films. Alignment good and no ACL or meniscus so he will be put in a brace and treated conservatively. Father asked if he could play in 3 weeks. I said nope.
Avulsion fracture of the adductor magnus insertion