OCAD MSK

History

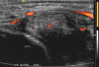
Figure 1 for case AITFL Desmitis
Figure 1
Figure 2 for case AITFL Desmitis
Figure 2
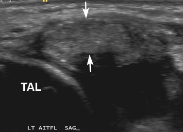
Figure 3 for case AITFL Desmitis
Figure 3

Discussion

39 with on-going anterolateral ankle pain 9 months after syndesmosis injury. Pain, tenderness and swelling all localised to the AITFL. US shows AITFL Desmitis with tender, diffusely swollen and mildly hyperaemic ligament (arrows).

Diagnosis

AITFL Desmitis

John Read, MD
Courtesy