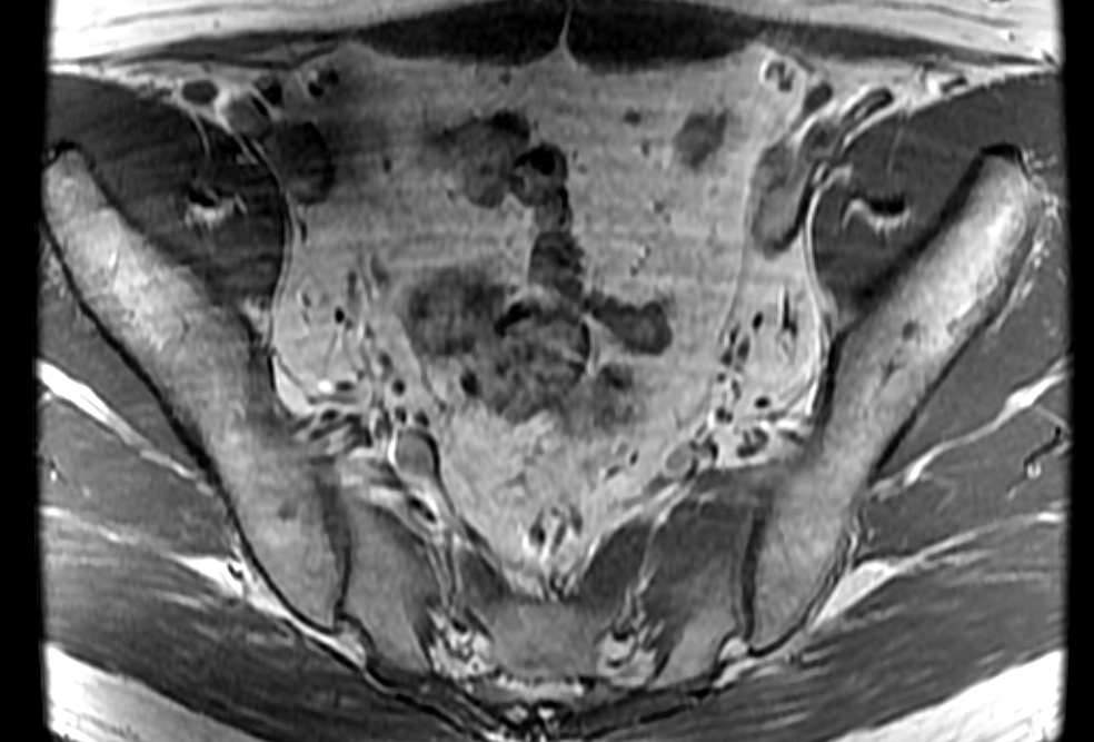
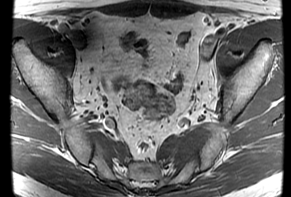
Bilateral sciatica




Bilateral accessory piriformis muscles at the S2 level attaching to the sacral body, anterior the S2 nerve roots. Normal piriformis muscles should be posterior to the sacral nerve roots. The result is that the S2 nerve roots may be pinched between the piriformis and accessory piriformis muscles.
Bilateral accessory piriformis muscles