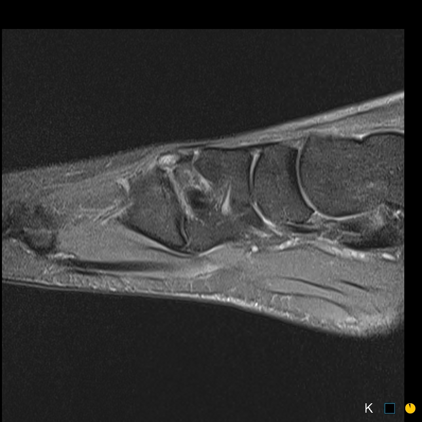
Sprinter. Dorsal midfoot pain





Classification: free standing, articulating and fused
Mostly asymptomatic
Case reports of symptomatic os intermetatarseum in athletes
Symptoms may relate to compression medial br DPN
Rx: shoewear adjustment, steroid inj, excision
This case underwent excision, with resolution of symptoms
Symptomatic os intermetatarseum