OCAD MSK

History

25 year old male with swelling over left mandible

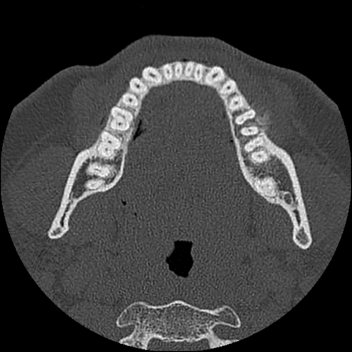
Figure 1 for case Chondroblastic osteosarcoma of the mandible
Figure 1
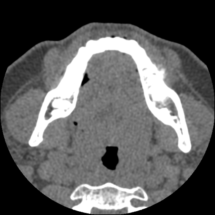
Figure 2 for case Chondroblastic osteosarcoma of the mandible
Figure 2
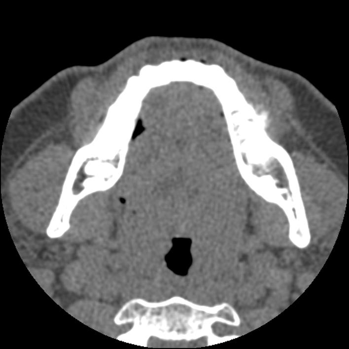
Figure 3 for case Chondroblastic osteosarcoma of the mandible
Figure 3
Figure 4 for case Chondroblastic osteosarcoma of the mandible
Figure 4
Figure 5 for case Chondroblastic osteosarcoma of the mandible
Figure 5

Discussion

Diagnosis

Chondroblastic osteosarcoma of the mandible

Bill Breidhal, MD
Courtesy