OCAD MSK

History

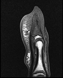
13 yo painful clubbed finger

Figure 1 for case Osteoid osteoma ( RID4005 )
Figure 1
Figure 2 for case Osteoid osteoma ( RID4005 )
Figure 2
Figure 3 for case Osteoid osteoma ( RID4005 )
Figure 3
Figure 4 for case Osteoid osteoma ( RID4005 )
Figure 4
Figure 5 for case Osteoid osteoma ( RID4005 )
Figure 5

Discussion

Path proven.

Diagnosis

Osteoid osteoma ( RID4005 )

James Linklater, MD
Courtesy