OCAD MSK

History

Buttock mass

Figure 1 for case Gout
Figure 1
Figure 2 for case Gout
Figure 2
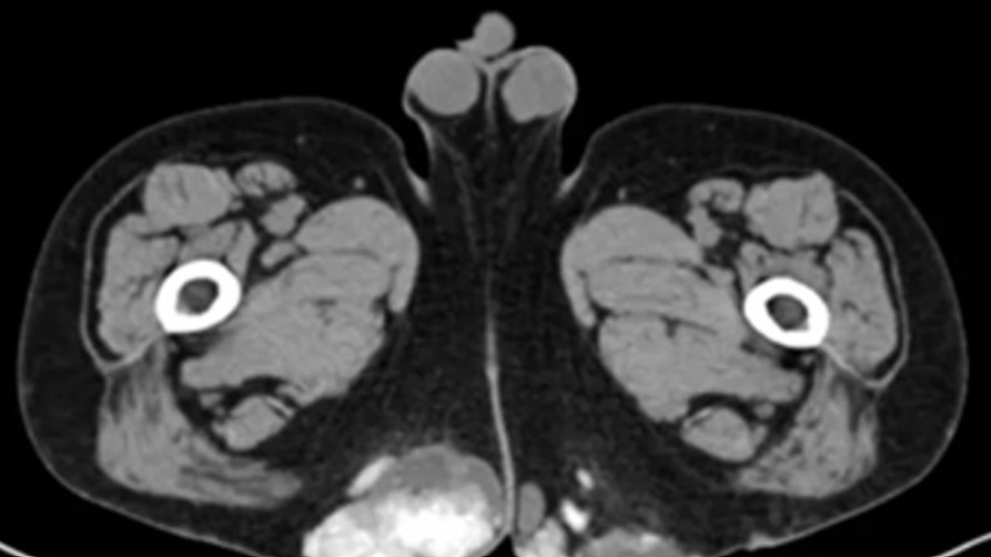
Figure 3 for case Gout
Figure 3

Discussion

Subcutaneous soft tissue mass in the buttocks with lobulated borders and areas of internal high density or apparent calcification.

Diagnosis

Gout

SJ Baik, MD
Courtesy