49M runner with pain since twisting injury during marathon 1 year ago
-1.jpg)
-2.jpg)
-3.jpg)
-4.jpg)
-5.jpg)
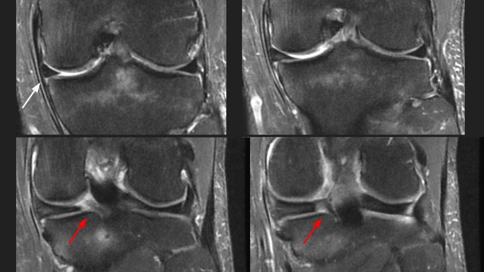
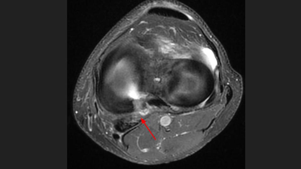
There is a radial tear / avulsion of the posterior horn medial meniscal root (red arrow), which is likely related to the running injury 1 year ago. There is stress related marrow edema, but it is not localized deep to the root anchor. There is 3mm (borderline) extrusion of the medial meniscal body (white arrow), but there is surprising preservation of the medial compartment articular cartilage. Meniscal root tear is known to predispose to medial compartment cartilage loss, which is often rapid. Hes obviously symptomatic and has stress related marrow edema, but why hasnt he developed medial compartment OA?
posterior horn of medial meniscus ( RID2776 )