OCAD MSK

History

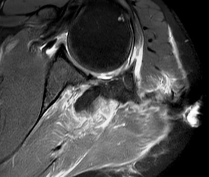
25 y/o stabbed in the back. RO rotator cuff tear

Figure 1 for case Stab wound
Figure 1
Figure 2 for case Stab wound
Figure 2
Figure 3 for case Stab wound
Figure 3
Figure 4 for case Stab wound
Figure 4
Figure 5 for case Stab wound
Figure 5

Discussion

Filled with hemorrhage. The infraspinatus took the brunt.

Diagnosis

Stab wound

Phillip Tirman MD
Courtesy