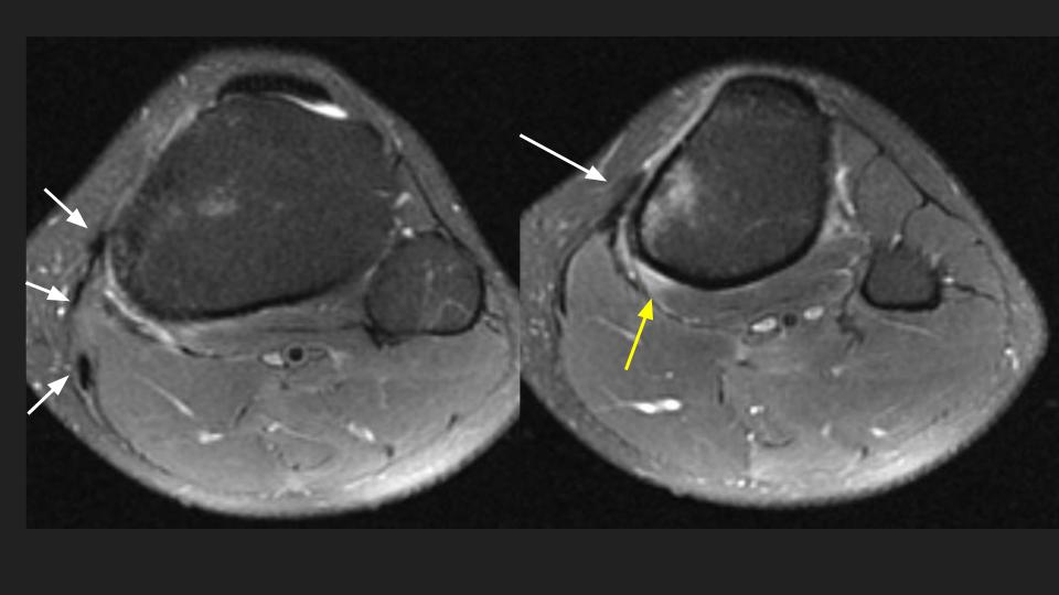
27F athlete with 4 weeks symptoms of pes anserine bursitis



There is subcortical marrow edema along the medial proximal tibial metadiaphysis, more prominent on PDFS, but faintly visible on T1w. There is superimposed periosteal edema with minimal pes anserine bursal edema (pes tendons indicated by white arrows) and minimal reactive edema extending into the medial popliteus muscle (yellow arrow). Clinically there is no surprise this was presumed to be pes anserine bursitis. I wonder how many cases of tibial stress reaction (stress related BME and periosteal edema / impending stress fracture) we or our referring clinicians have misdiagnosed as pes bursitis and just injected with steroids.
tibial stress reaction