58M shoulder and upper arm pain x 4 weeks
-1.jpg)
-2.jpg)
-3.jpg)
-4.jpg)
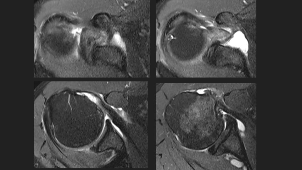
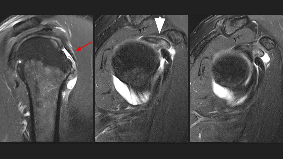
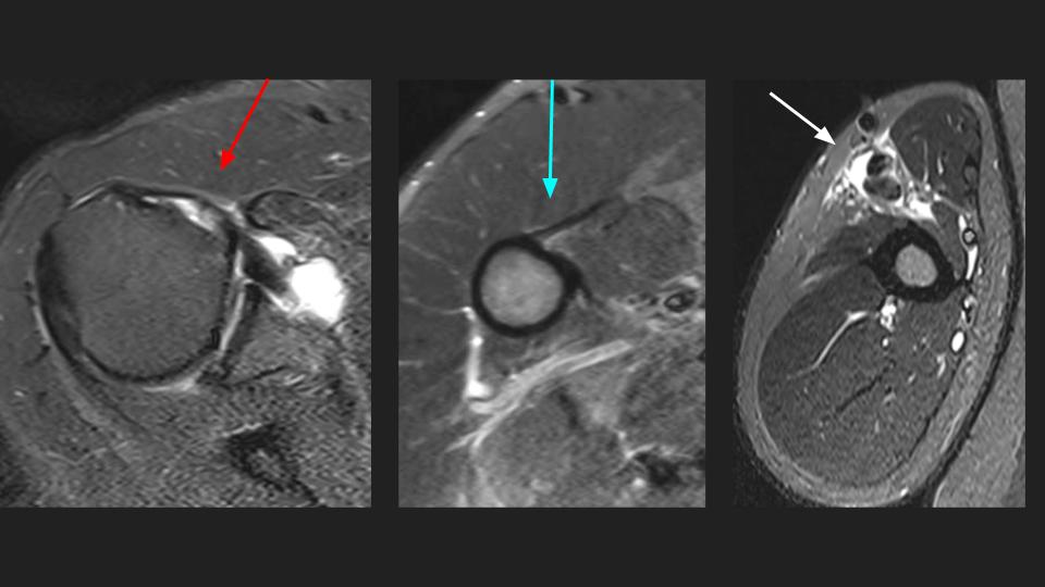
There is a complete tear of the intraarticular long head biceps tendon (LHBT). The intraarticular remant is displaced into the superior subscapular recess and the torn retracted tendon is distal to the pec major insertion (bue arrow) in the mid upper arm (white arrow). Note the delaminating tear of the subscapularis tendon (red arrow). There is moderate supraspinatus tendinosis without tear (not shown).
tendon of long head of biceps brachii ( RID1944 )