27M knee pain
-1.jpg)
-2.jpg)
-3.jpg)
-4.jpg)
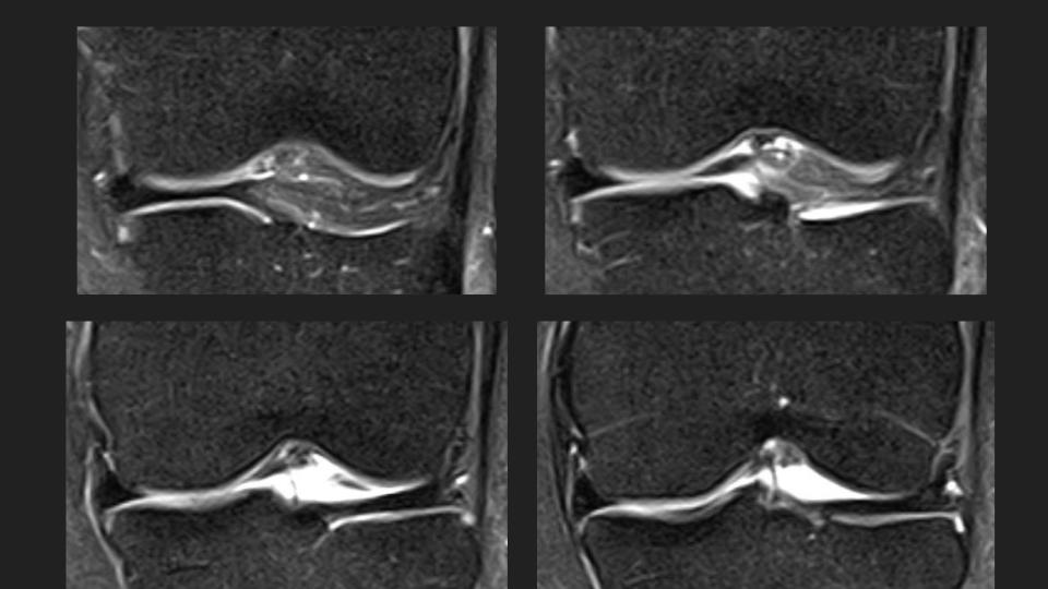
This is an anteromedial meniscofemoral ligament. It looks alot like the relatively common ligamentum mucosum, but is is rare (approx 0.4% incidence) and inserts onto the central aspect of the anterior horn medial meniscus rather than the patella. It is eye-catching, but incidental and should not be resected. Reference article.
meniscofemoral ligament ( RID2806 )