OCAD MSK

History

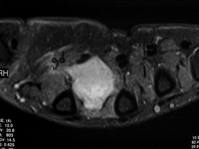
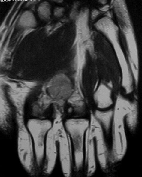
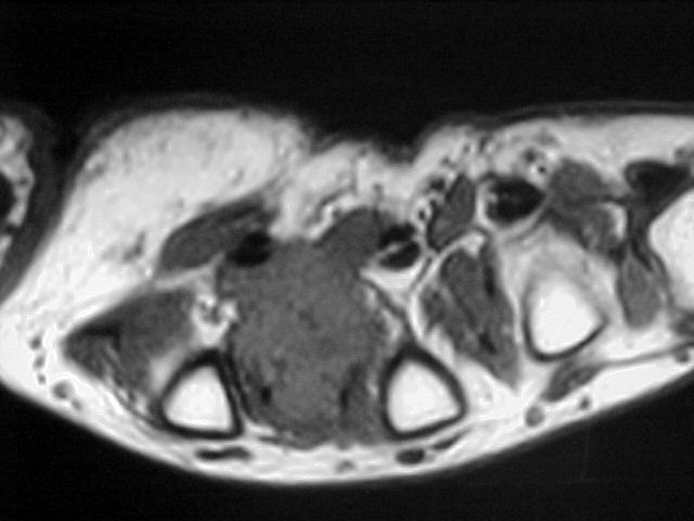
36y, male, Discrete pain and increase of volume between the 2nd and 3rd MCs

Figure 1 for case Glomus tumors
Figure 1
Figure 2 for case Glomus tumors
Figure 2
Figure 3 for case Glomus tumors
Figure 3
Figure 4 for case Glomus tumors
Figure 4
Figure 5 for case Glomus tumors
Figure 5
Figure 6 for case Glomus tumors
Figure 6

Discussion

Old case from the file.
Case to follow the sent by Kyung, showing a glomus tumor in an unusual place

Diagnosis

Glomus tumors

Ciro Menna Barreto Duarte, MD
Courtesy