OCAD MSK

History

49f 3 months pain along the dorsal 5th MT base, suspect fracture

Figure 1 for case peroneus tertius ( RID2915 )
Figure 1
Figure 2 for case peroneus tertius ( RID2915 )
Figure 2
Figure 3 for case peroneus tertius ( RID2915 )
Figure 3
Figure 4 for case peroneus tertius ( RID2915 )
Figure 4
Figure 5 for case peroneus tertius ( RID2915 )
Figure 5

Discussion

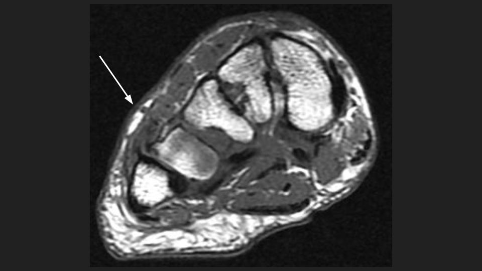
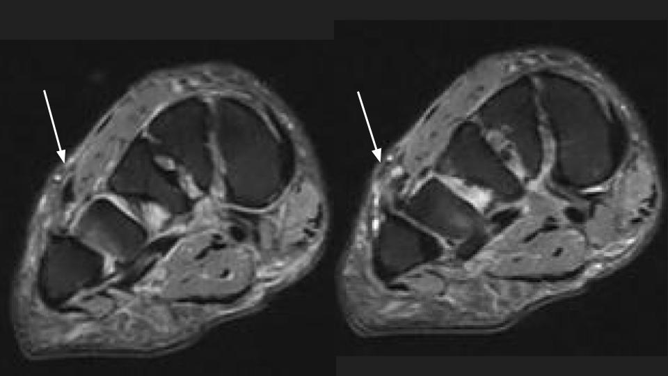
Area of pain indicated by markers surrounds the insertion of the Peroneus Tertius tendon onto the base of the 5th and likely also 4th dorsal MT base. The tendon is thickened with intrasubstance intermediate T1 and bright T1 signal. This is the insertional tendinosis of the peroneus tertius, with probable superimposed partial intrasubstance insertional tear suggested in the Sag fat sat images. The reference does not say much about the insertion, but includes some anatomic references that indicate variation in the insertion site at the 5th and sometimes 4th and 5th MT base. Reference article.

Diagnosis

peroneus tertius ( RID2915 )

Hilary Umans, MD
Courtesy