OCAD MSK

History

70 yo with 3 year history of slow growing mass in scapular region.

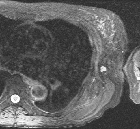
Figure 1 for case Elastofibroma dorsi
Figure 1
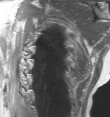
Figure 2 for case Elastofibroma dorsi
Figure 2
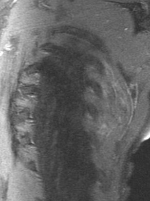
Figure 3 for case Elastofibroma dorsi
Figure 3
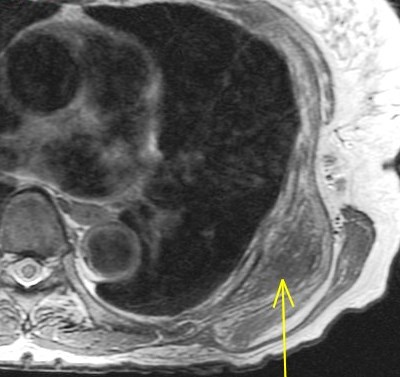
Figure 4 for case Elastofibroma dorsi
Figure 4
Figure 5 for case Elastofibroma dorsi
Figure 5
Figure 6 for case Elastofibroma dorsi
Figure 6

Discussion

Typical location and dark appearance of this psuedotumor. Reference article.

Diagnosis

Elastofibroma dorsi

Phillip Tirman MD
Courtesy