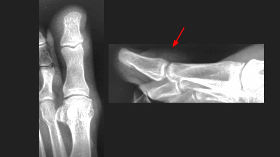
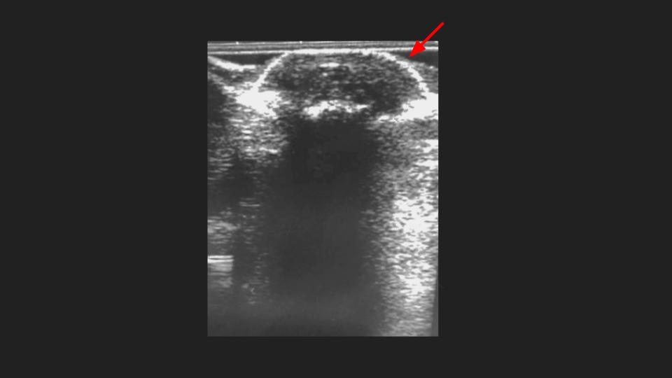
58M with acute onset pain, redness and swelling while traveling in Mexico
-1.jpg)
-2.jpg)
-3.jpg)
-4.jpg)
Aspirated and proven Gout of the first toe interphalangeal joint.
There is an intermediate T1 / Bright PDFS, STIR signal mass dorsal to the hallux IP with subtle erosion (arrow in short axis MRI) and no BME. No joint space narrowing, mild IPJ synovitis (not shown). XRs and US send as screenshots from referrer. She aspirated whitish greenish material from the dorsal IPJ mass/collection.
infectious or inflammatory disease ( RID3381 )