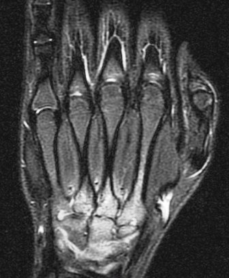
14 y/o with history of bilateral wrist pain.





His carries a known diagnosis of Juvenile Rheumatoid Arthritis. (RID3610) New term is JIA. He has failed steroid therapy and methotrexate. Currently on humira. R/O osseous change. Its ruled in. Reference article.
Juvenile idiopathic arthritis