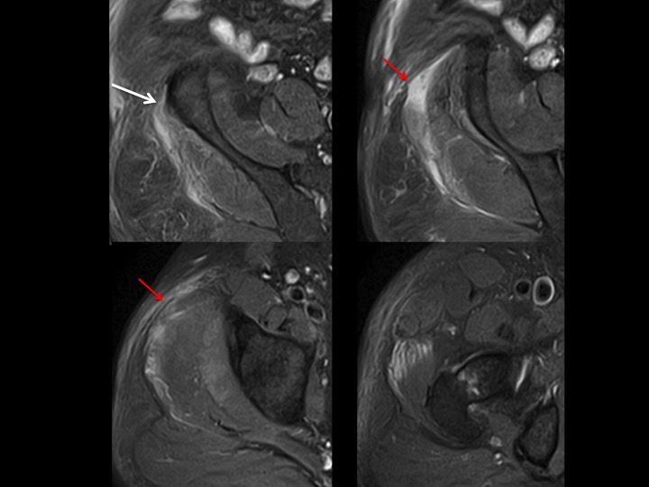
69M 1 week hip pain
-1.jpg)
-2.jpg)
-3.jpg)
There is complete retracted avulsion of proximal iliotibial band at its iliac tubercle origin, with contiguous delaminating tear of the gluteus medius fascia, subfascial hemorrhage and low grade G medius muscle strain. I have only ever seen proximal ITB tears in women, with few non-insertional tears and gluteal fascial tears more common (in my experience) in men. This man has a history of diabetes. I dont know if he had trauma.
iliotibial band ( RID2855 )