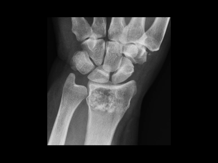
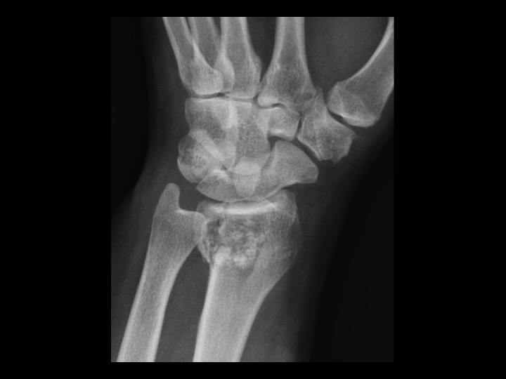
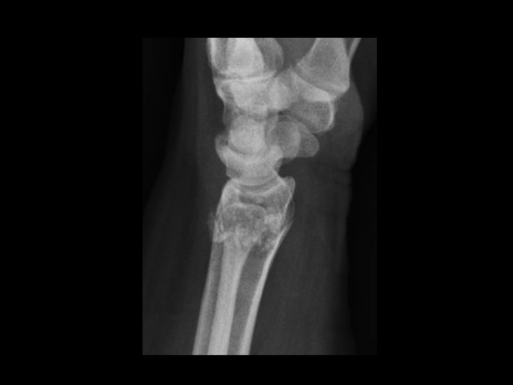
57F fell 2 weeks ago
-1.jpg)
-2.jpg)
-3.jpg)
Solitary epiphyseal enchondroma is reportedly rare (in the attached article, the incidence is 4%, higher than other series). This came to attention because of fracture after fall, though I would characterize this as a pathologic fracture, since the lesion occupies most of the DR with endosteal scalloping. In the attached article, there was no aggressive behavior on limited follow up. The radiographic appearance is non-aggressive. Is that sufficient to assume this is an epiphyseal enchondroma, not requiring close and continued imaging follow up? Or does the epiphyseal location raise suspicion and require continued surveillance after the fracture has healed? I imagine this might require currettage and grafting, at which time there would be pathology...but this is being followed currently.
enchondroma ( RID4128 )