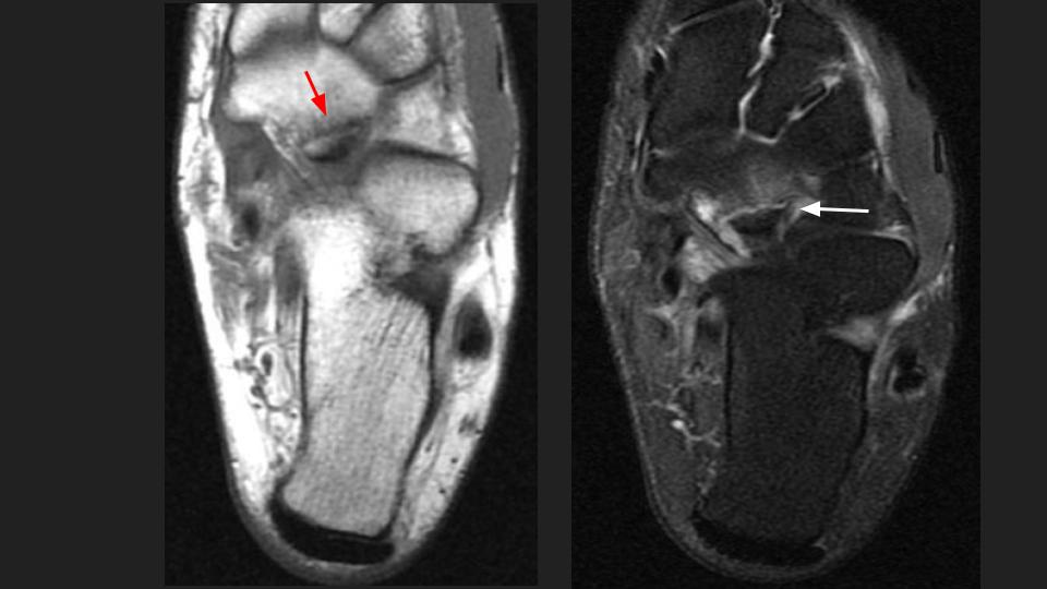
28F runner felt pop and pain after injury 3 days ago
-1.jpg)
-2.jpg)
-3.jpg)
There is an avulsion fracture of the plantar margin of the navicular at the insertion of the inferior plantar longitudinal component of the Spring ligament complex. Never seen this before. Reference article.
spring ligament ( RID3052 )