60F 3 weeks calf pain, suspect DVT
-1.jpg)
-2.jpg)
-3.jpg)
-4.jpg)
-5.jpg)
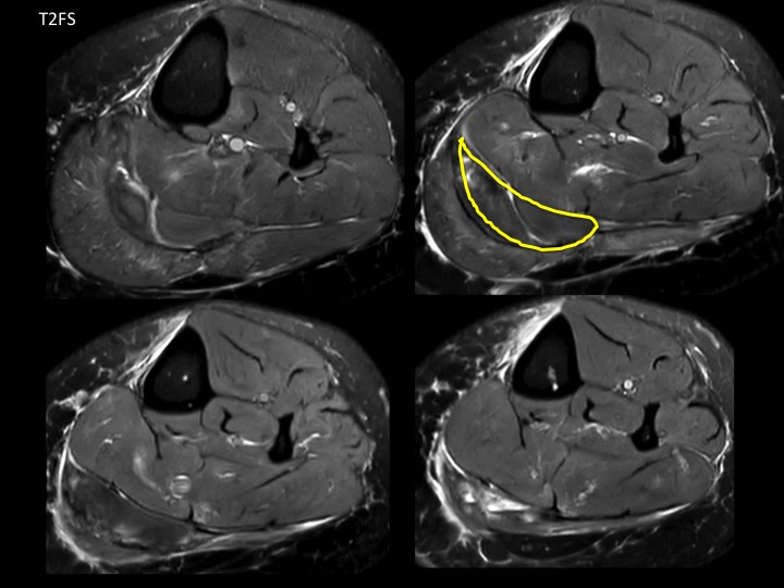
No DVT. Very subtle subacute full thickness tear at the distal myotendinous junction of the medial head gastrocnemius with 1.5 cm retraction at the tear and mild muscle edema. There is a subacute hematoma in the intermuscular fat planes (outlined in yellow) which is almost isointense to muscle, with a dark rim on ax T2FS and peripheral bright rim on T1. Easy to miss. Reference article.
medial head of gastrocnemius muscle ( RID2921 )