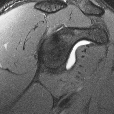
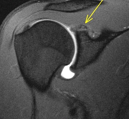
19 y/o college pitcher. Pain with throwing.






Posterior superior glenoid bone build up from chronic peel back stress. There are superimposed acute edematous changes. Abstract from Burkarts article describing it is included. Reference article.
Posterior Peel Back Lesion of Internal Impingement