44M worsening knee pain
-1.jpg)
-2.jpg)
-3.jpg)
-4.jpg)
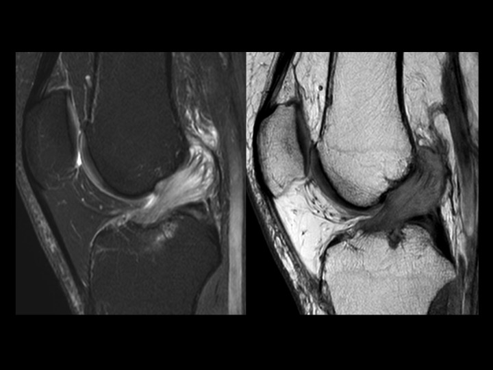
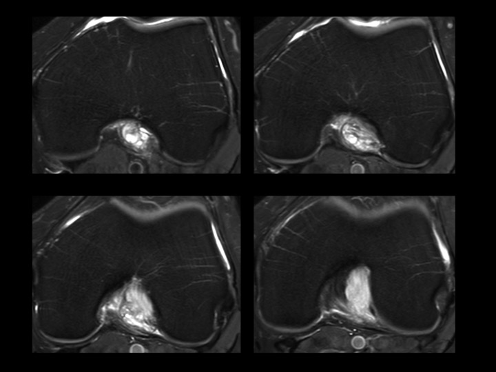
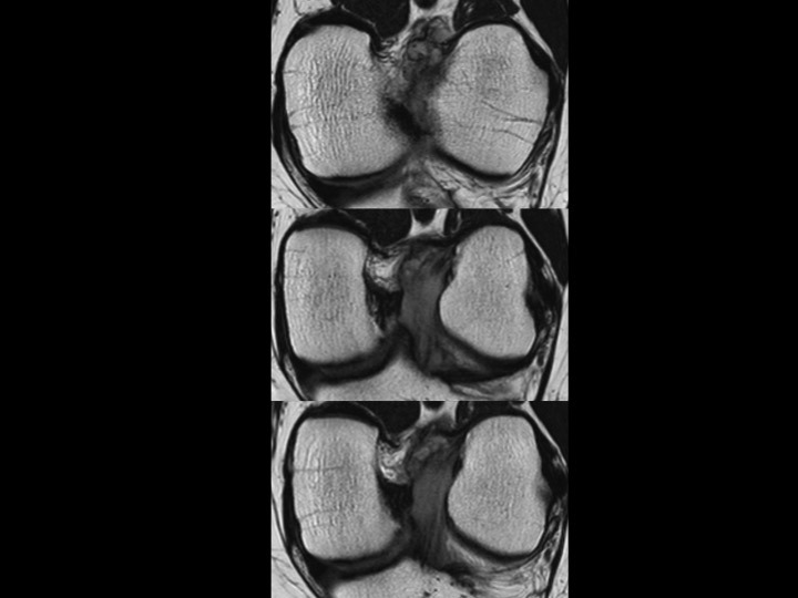
There is diffuse intrasubstance mucoid degeneration and expansion of the ACL with only small septated ACl ganglion near the femoral origin. This is typically seen in older individuals, but I like to think this gentleman is quite young. No other pathology on MRI. Apparently treatment is varied; Ive only found small series with good outcomes, but no mention of time to clinical follow up. It seems in this case that judicious debridement would be difficult, as the entire ligament seems to be rotten to the core. Reference article.
anterior cruciate ligament ( RID2781 )