OCAD MSK

History

64 y/o with injury and felt a pop during bowling.

Figure 1 for case A2 pulley rupture finger (RID2437)
Figure 1
Figure 2 for case A2 pulley rupture finger (RID2437)
Figure 2
Figure 3 for case A2 pulley rupture finger (RID2437)
Figure 3
Figure 4 for case A2 pulley rupture finger (RID2437)
Figure 4
Figure 5 for case A2 pulley rupture finger (RID2437)
Figure 5
Figure 6 for case A2 pulley rupture finger (RID2437)
Figure 6

Discussion

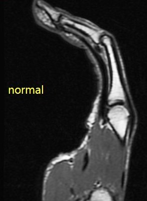
Imaging in flexion helps bring out this abnormality. The hand surgeon specifically requests it now. Also I ask the technologist to always include an adjacent normal finger for comparison.

Diagnosis

A2 pulley rupture finger (RID2437)

Phillip Tirman MD
Courtesy