42M chronic pain with reported work injury 17 months ago
-1.jpg)
-2.jpg)
-3.jpg)
-4.jpg)
-5.jpg)
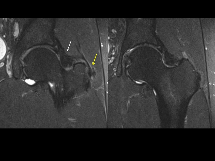
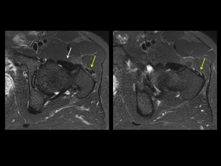
There is marked dark signal capsular thickening anteriorly and superiorly (white arrows). The reference, based on arthrography, refers to much thinner capsular measurements, and does not specify where measurements are made (these are mid superior and anterior). Is this chronic adhesive capsulitis? There is also insertional G Minimus tendinosis (yellow arrows) and degenerative tearing of the anterior labrum. The patient specified that pain is worst posteriorly. Last image from a different patient today with comparatively normal appearing capsule. Reference article.
joint capsule ( RID6072 )