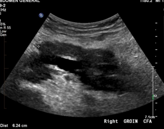
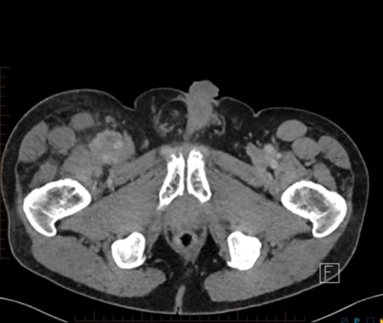
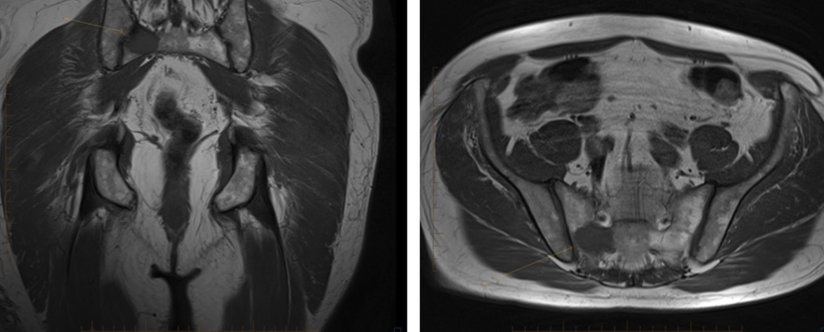
70 male prostate CA with groin mass
-1.jpg)
-2.jpg)
-3.jpg)
-4.jpg)
-5.jpg)
FEMORAL ARTERY LEIOMYOSARCOMA WITH BONE METASTASES.
• MORE OFTEN VENOUS THAN ARTERIAL (80%)
• MOST COMMON SITE IS IVC
• MOST COMMON ARTERY IS PULMONARY ARTERY
• METASTASES AT PRESENTATION ARE COMMON - APPROX 50%
• 5 YEAR RECURRENCE FREE SURVIVAL RATE APPROX 35% IN ONE SERIES
Vascular leiomyosarcoma ( RID4387 )