OCAD MSK

History

Pain, soccer injury

Figure 1 for case OSTEOGENESIS IMPERFECTA
Figure 1
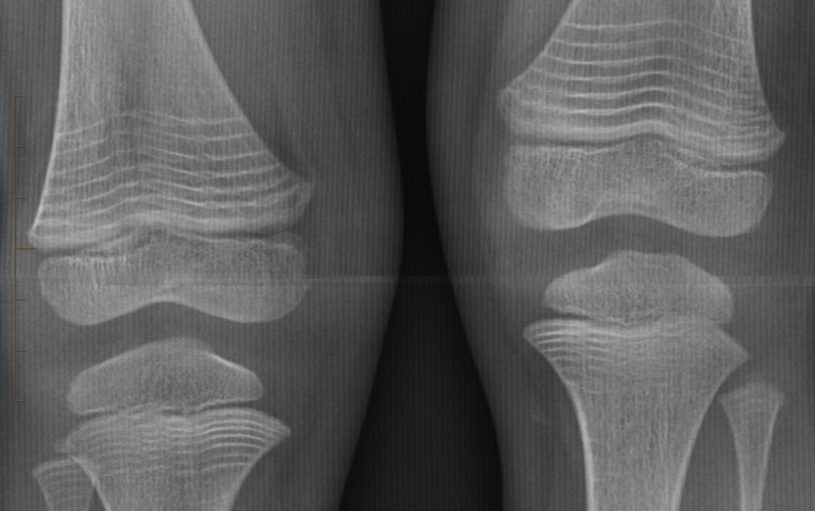
Figure 2 for case OSTEOGENESIS IMPERFECTA
Figure 2
Figure 3 for case OSTEOGENESIS IMPERFECTA
Figure 3

Discussion

PAMIDRONATE IN OSTEOGENESIS IMPERFECTA, ZEBRA LINES

Diagnosis

OSTEOGENESIS IMPERFECTA

Andrew Kingzett Taylor, MD
Courtesy