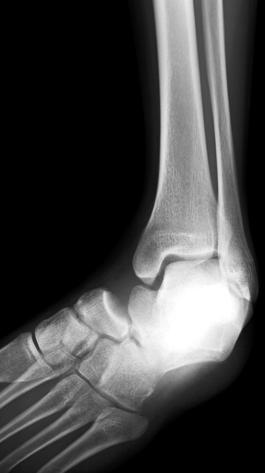
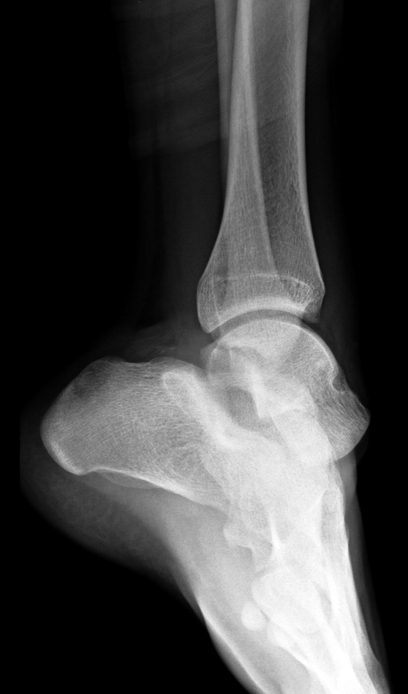
16 y/o s/p skateboard injury. Severe pain.
-1.jpg)
-2.jpg)
-3.jpg)
-4.jpg)
-5.jpg)
-6.jpg)
Medial subtalar dislocation. The photo is a representation, not this actual patient. 80% are medial like this. Trauma to an inverted plantar flexed ankle. Reference article.
Medial subtalar joint dislocation( RID3029 )