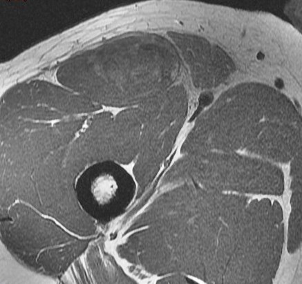
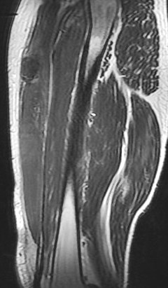
25 y/o work injury, soccer injury.
-1.jpg)
-2.jpg)
-3.jpg)
-4.jpg)
-5.jpg)
-6.jpg)
Maybe his soccer playing is his work? Who am I to ask questions. The indirect head goes on to form the central tendon. There is complete failure of the proximal myotendinous junction and there is an interposed acute hematoma. The hematoma is almost isointense to muscle. Reference article.
rectus femoris indirect head proximal myotendinous junction tear with hematoma( RID2698 )