37 y/o male 4th finger injury with pain.






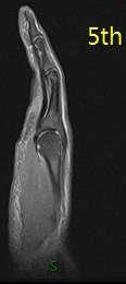
Annular pulley tears result in bowstringing of the tendon. Compare the sagittals of the 4th finger with the sagittal of the 5th finger which is not bowstrung (5th is labeled). I dont believe I have recognized only half of the pulley torn before.
Ulnar aspect A3 pulley tear with bowstringing of the flexor tendons