OCAD MSK

History

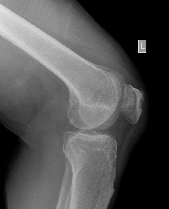
Figure 1 for case gout arthritis ( RID3567 )
Figure 1
Figure 2 for case gout arthritis ( RID3567 )
Figure 2
Figure 3 for case gout arthritis ( RID3567 )
Figure 3
Figure 4 for case gout arthritis ( RID3567 )
Figure 4
Figure 5 for case gout arthritis ( RID3567 )
Figure 5
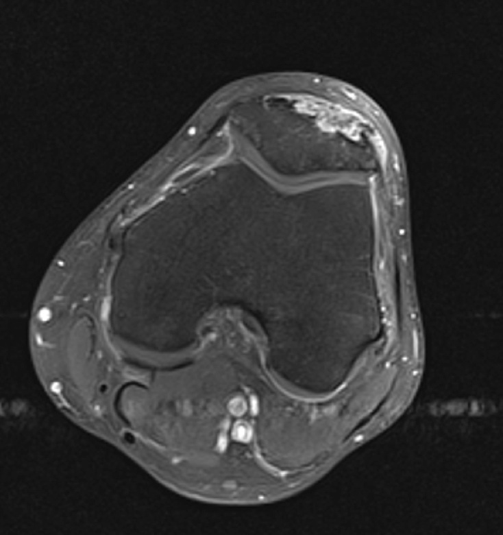
Figure 6 for case gout arthritis ( RID3567 )
Figure 6

Discussion

Diagnosis

gout arthritis ( RID3567 )

Rob Jones, MD
Courtesy