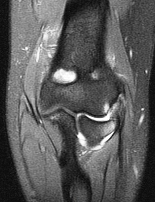
21 y/o F s/p wrestling injury. R/O acute radial head fracture.
(RID2035)-1.jpg)
(RID2035)-2.jpg)
(RID2035)-3.jpg)
(RID2035)-4.jpg)
(RID2035)-5.jpg)
(RID2035)-6.jpg)
Complex combination of valgus and varus stresses, probably a subluxation. Note the tear of the posterior lateral capsule just behind the ligamentous origin on the pdfs coronal. Patient should have posterolateral rotatory instability (PLRI). Also had extensor tendon strain with partial tear, trabecular injury of the coronoid process and of the humeral trochlea. Reference article.
Tear of combined origin of the lateral ulnar collateral ligament and radial collateral of elbow (RID2043)(RID2035)